Medix logo
ДЕНТАЛНА РЕНТГЕНОВА ЛАБОРАТОРИЯ

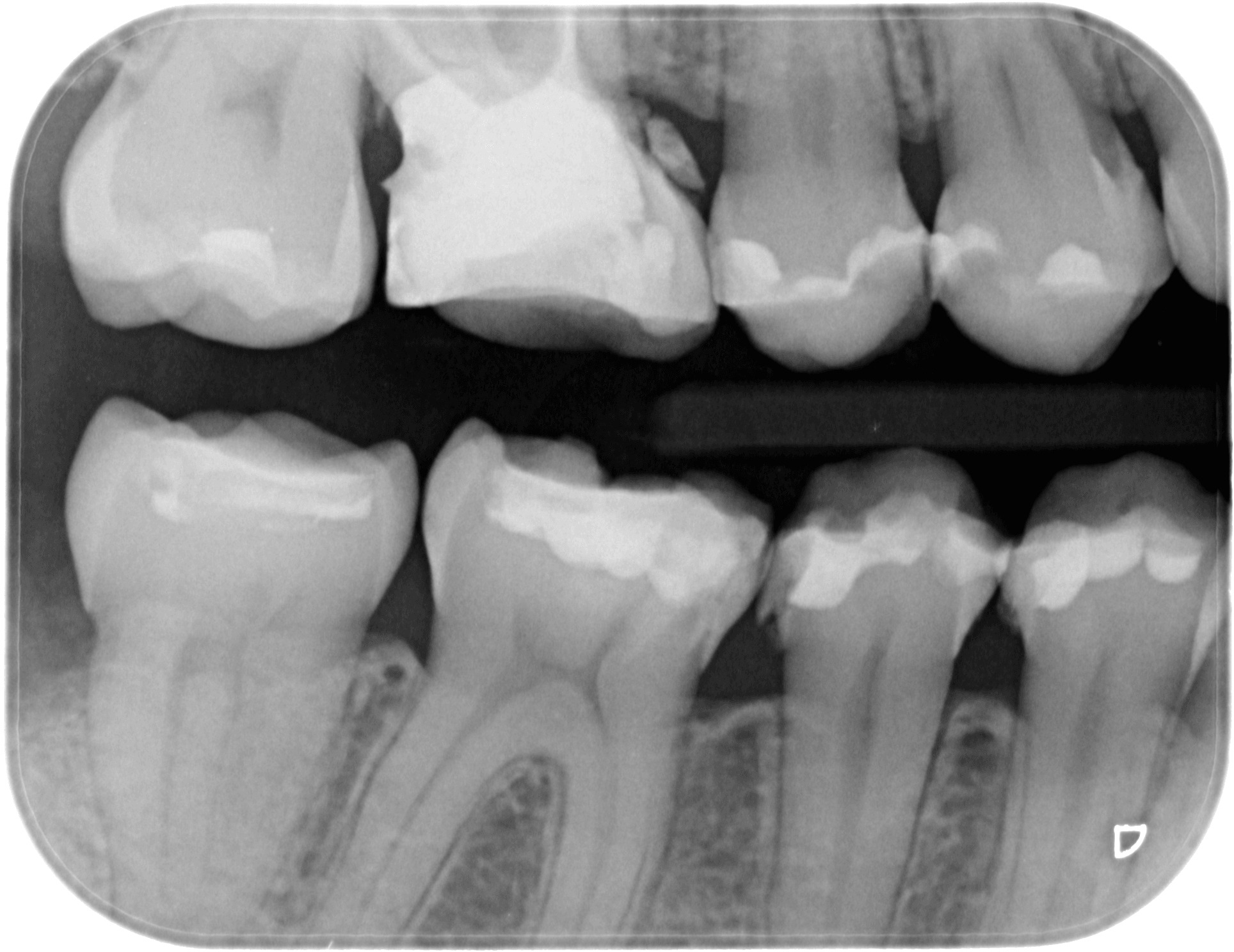
Байтуинг (Bitewing)

Байтуингът е един от методите за диагностициране на кариес в междузъбните контакти едновременно на горните и долните странични зъби. С негова помощ се констатира и загуба на костно вещество при пародонтит. За направата му се използва специален държател, който улеснява позиционирането.