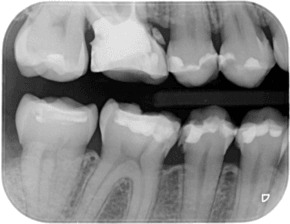
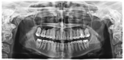
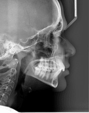
Зъбните снимки, които правим в Медикс, са дигитални. Това означава, че след като бъдат направени, пациентът получава разпечатано копие от специализиран принтер, а цифровият файл се запазва на нашите сървъри. Всеки пациент има своя лична папка, а на всеки дентален медик създаваме личен профил, чрез който получава достъп до папките на своите пациенти. Този подход дава много удобства и предимства както за лекаря, така и за пациента.
-
Зъбните снимки, независимо дали са секторни, панорамни зъбни снимки, телерентгенографии или друг вид се съхраняват на нашите сървъри неограничено дълго време.
-
Лекарите по дентална медицина имат бърз онлайн достъп до папките на техните пациенти. Дигиталните зъбни снимки се получават в реално време и до тях има неограничен достъп. Те могат да бъдат разглеждани по всяко време и от всяка точка на света.
-
Зъбните снимки са налични в няколко различни файлови формата - DICOM (DCM), PNG и JPG, което улеснява свалянето им на личните компютри.
-
Денталните медици могат с лекота да правят всички необходими обработки и измервания на дигиталните зъбни снимки, което улеснява подготовката за лечебния процес на пациента.
-
Дигиталните зъбни снимки са подредени в хронологичен ред. При влизане в досието на пациент се виждат всички негови дигитални зъбни снимки, направени във времето, което дава възможност да се проследи развитието на лечението.
-
Неограниченият достъп дава възможност на пациента да извършва допълнителни консултации, ако се налага.
Независимо дали сте пациент на лабораторията в
София,
Бургас или
Стара Загора, за да разгледате вашите зъбни снимки, трябва да имате потребителско име и парола за достъп. Те се получават при първоначалната регистрация на пациента и не се променят при следващите снимки.