Medix logo
ДЕНТАЛНА РЕНТГЕНОВА ЛАБОРАТОРИЯ

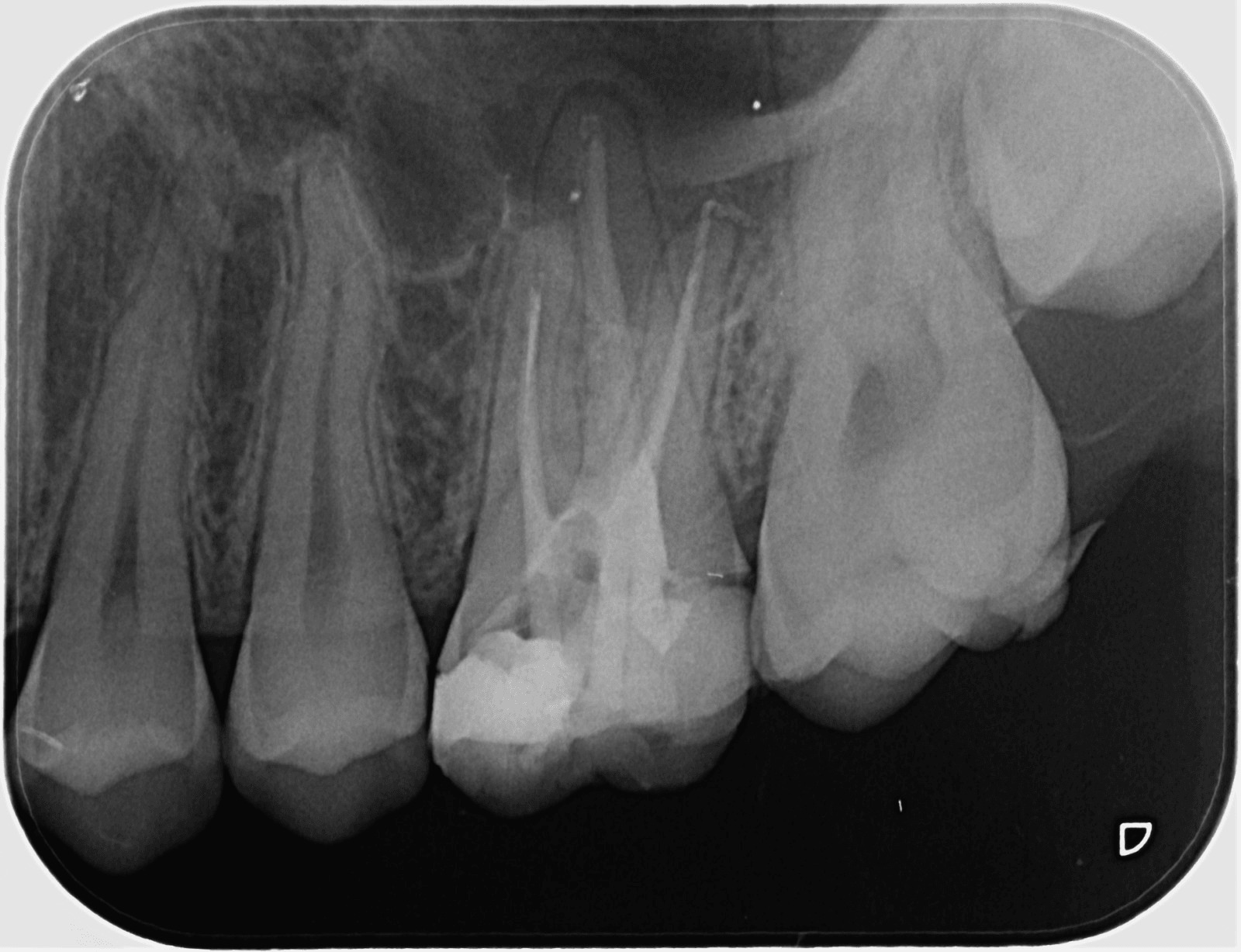
Секторни зъбни снимки

Това са най-разпространените зъбни снимки. За да имат добра диагностична стойност, те трябва да обхващат целия зъб - коронката, корена и прилежащата около него кост. Така лекарите по дентална медицина могат да констатират наличието на много заболявания като кариеси, грануломи, кисти, пародонтални проблеми, както и да проследяват развитието на кореново лечение или интеграцията на поставените импланти.