Medix logo
ДЕНТАЛНА РЕНТГЕНОВА ЛАБОРАТОРИЯ

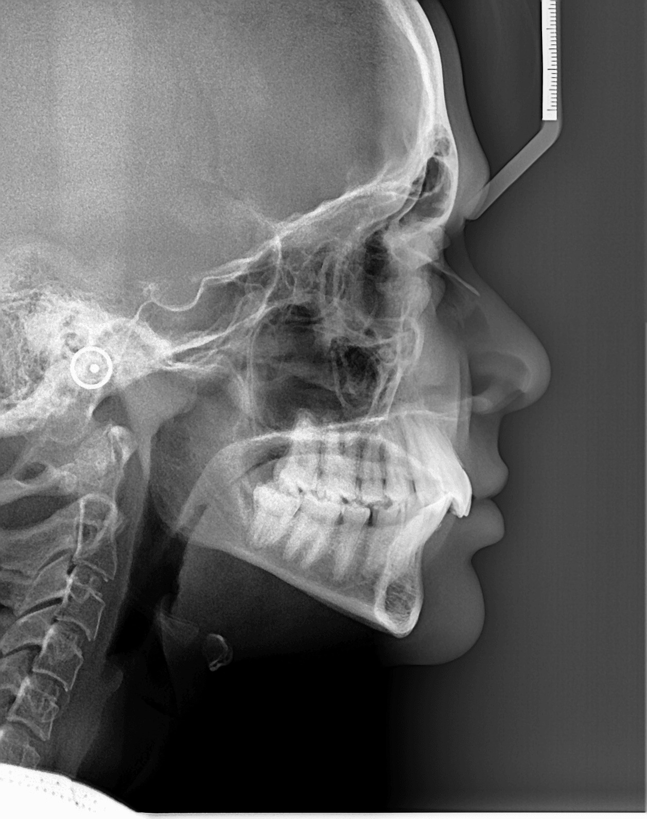
Телерентгенография (CEPH)

Телерентгенографията е профилна снимка на черепа. Обикновено се прави на деца за нуждите на ортодонтията. По нея лекарите измерват и анализират захапката, планират необходимите корекции и проследяват развитието на челюстите и зъбите.